[caption id="attachment_2626" align="alignnone" width="1047"] çivileme sonrası[/caption] [caption id="attachment_2627" align="alignnone" width="1047"] ameliyat öncesi[/caption]...
Read More[caption id="attachment_2626" align="alignnone" width="1047"] çivileme sonrası[/caption] [caption id="attachment_2627" align="alignnone" width="1047"] ameliyat öncesi[/caption]...
Read More[caption id="attachment_2621" align="alignnone" width="1047"] ikinci ameliyat öncesi[/caption] [caption id="attachment_2622" align="alignnone" width="1047"] ikinci ameliyat sonrası kaynamış kemik[/caption] [caption id="attachment_2623" align="alignnone" width="1047"] Uyluk kemik kırığı ilk ameliyat (ilizarov)[/caption]...
Read More[caption id="attachment_2611" align="alignnone" width="2811"] implant çıkarımı sonrası 2[/caption] [caption id="attachment_2612" align="alignnone" width="1974"] implant çıkarımı sonrası 3[/caption] [caption id="attachment_2613" align="alignnone" width="1567"] implant çıkarımı sonrası 4[/caption] [caption id="attachment_2614" align="alignnone" width="2765"] implant çıkarımı sonrası 5[/caption] [caption id="attachment_2615"...
Read More[caption id="attachment_2605" align="alignnone" width="3026"] ameliyat öncesi 1[/caption] [caption id="attachment_2606" align="alignnone" width="3026"] ameliyat öncesi 2[/caption] [caption id="attachment_2607" align="alignnone" width="1047"] ameliyat sonrası 2[/caption] [caption id="attachment_2608" align="alignnone" width="1047"] ameliyat sonrası1[/caption]...
Read More[caption id="attachment_2601" align="alignnone" width="2476"] ameliyat öncesi[/caption] [caption id="attachment_2602" align="alignnone" width="1047"] kapalı yöntemle vidalama[/caption]...
Read More[caption id="attachment_2595" align="alignnone" width="1047"] ameliyat öncesi 1[/caption] [caption id="attachment_2596" align="alignnone" width="1047"] ameliyat öncesi 2[/caption] [caption id="attachment_2597" align="alignnone" width="1047"] ameliyat sonrası 1[/caption] [caption id="attachment_2598" align="alignnone" width="1047"] ameliyat sonrası2[/caption]...
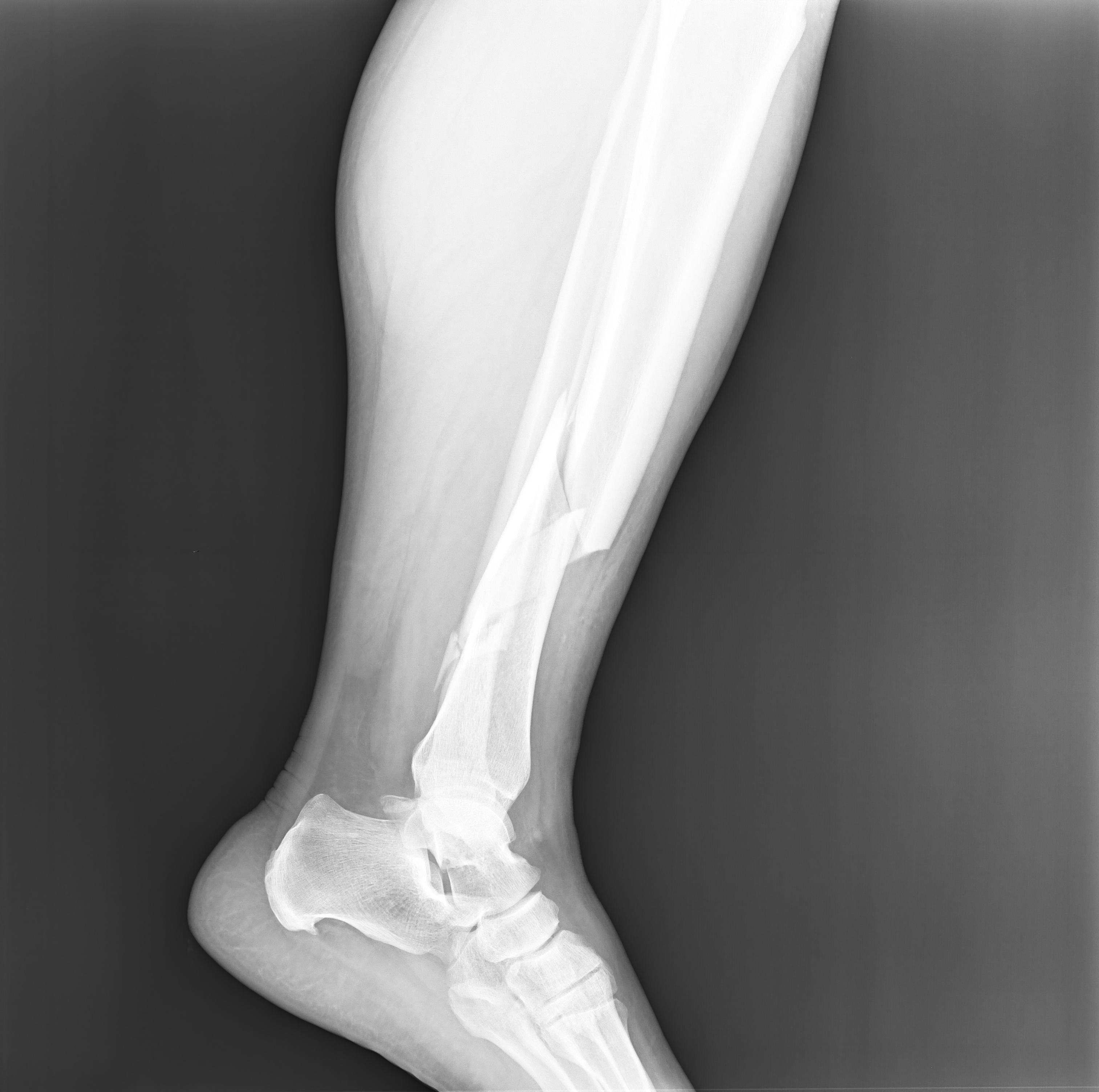
Read More[caption id="attachment_2591" align="alignnone" width="1055"] ameliyat öncesi[/caption] [caption id="attachment_2592" align="alignnone" width="1055"] ameliyat sonrası[/caption]...
Read More