STRES KIRIĞI NEDİR?

Genellikle vücudun yük taşıyan kemiklerinde görülen stres kırığı aşırı yüklenmeye bağlı, aşırı kullanım veya tekrarlayan darbeler sonrası ortaya çıkar.

Stres kırığı, bildiğimiz kırıklar gibi ani ve tek bir travma ile oluşmayıp, zaman içerisinde tekrarlayan küçük travmalar sonrası kemiğin stresine bağlı oluşan bir yorgunluk kırığıdır. Yanlış ayakkabı seçimi örneğin; uzun süre topuklu ayakkabılar ile ayakta kalma, uygun olmayan ayakkabılarla spor yapma stres kırığına yol açabilir.

Stres kırıkları genelde 20-35 yaş grubunda görülmekle birlikte en fazla profesyonel sporcularda rastlanır. En sık kaval kemiği, ayaktaki tarak ve topuk kemiklerinde görülür. 45-55 yaş aralığındaki kadınlarda da hem kilo hem de östrojen-progesteron dengesinin farklılaşması nedeniyle ayak tarak kemiğinde stres kırıkları gözlenebilir.

Stres kırığı tanısı nasıl konur?

 

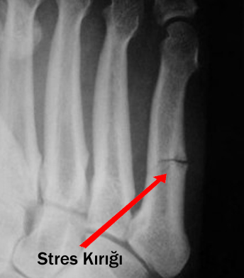
Normal kırıklardan farklı olarak, stres kırığında kırık hattı çok ince çatlak şeklinde olduğu için röntgenle tanı koymak her zaman mümkün olmaz. Stres kırığı tanısı bazen gözden kaçabilir.  Kırktan şüphelenilen durumlarda MRI çekilmelidir

Stres kırığının tedavisi mümkün mü?

 

Stres kırığı olan kişiye önerilen ve kişinin yapması gereken ilk şey ayağı dinlendirmektir. Bunun için koltuk değneği kullanımı ve alçı yapılabilir. Çok nadir olarak da cerrahi gündeme gelen stres kırıklarında genelde koruyucu önlemlerle yüzde 80-90’ı kendiliğinden iyileşme olur. Normal bir kemik kırığının iyileşme süresi 1-1,5 ay iken stres kırığında bu süreç iki katına kadar çıkabildiği de unutulmamalıdır.

 

Sonrasında yanlış ayakkabı seçimi varsa bu durum düzeltilmelidir.  Ayrıca aşırı yürüyüş, aşırı ayakta kalmak ve gereksiz aktivitelerden bir müddet uzak durmak da gerekmektedir. Eğer ayak bu süreçte iyi dinlendirilmezse ayakta oluşan ağrı tekrar nüksedebilir.