Skafoid Kemik Kırığı ve Tedavisi

Skafoid Kemiği Kırığına Dikkat!

El bileğindeki 8 küçük kemikten olan skafoid, el için en önemli kemiklerin başında gelir ve ne yazık ki en sık kırık da bu kemikte gözlenir ve tedavi edilmediği takdirde ciddi sorunlara neden olabilir. El bileğindeki bu 8 küçük kemik (tarak kemikleri) basit bir hareket sırasında dahi kendi arasında birçok farklı pozisyon değişikliği gösterirler. Tüm bu karmaşık hareketlerin baş aktörü ve temel yapı taşı skafoid adı verilen kemiktir. Özellikle el bileği travmalarında eğer bu kemik kırılırsa el bilek eklemlerinin tüm dengesi olumsuz yönde etkilenir.

Skafoid Kırığı nasıl oluşur?

Skafoid kemiği kırığı çok sık görülen bir kırıktır. Günlük hayatta hemen her an başımıza gelebilecek küçük bir kaza / düşme sonrasında bile bu kemik kırılabilir. Özellikle, avuç içi açık vaziyette el üzerine düşünce skafoid kırılabilir. Genellikle genç orta yaş kırıklarıdır.

Skafoid Kemik Kırıklarının tanısı  genellikle atlanmaktadır!

El bileği için bu kadar önemli olan skafoid kırıklarının tanısının doğru konulması da sonraki tedavi süreci için çok önemlidir. Çünkü; kırık oluştuktan sonra çekilen filmlerde kırık gözlenemeyebilir. Bu skafoid kemiğine özgü bir durumdur. Başlangıçta oluşan ağrı günler veya haftalar içerisinde azalabilir. Şişlik çok fazla olmayabilir. Dışarıdan fark edilen bir deformite ve eğrilik olmadığı için çoğu kişi tarafından basit bir el bileği incinmesi olarak değerlendirilip gözardı edilir, ve genellikle tanı geç konulur.

Tanı için öncelikle genç yaşlarda avuç üzerine düşmelerde skafoid kırığı olabileceğinden şüphelenmelidir. Muayene de skafoid üzerinde hassasiyet saptanırsa çekilen grafilerde kırık görülmese de şüphe devam etmeli ve bu aşamada ya kırık varmış gibi davranarak 2-3 hafta el bileği hareketsiz tutacak bir atel uygulamak veya MRI çekmek gerekir.

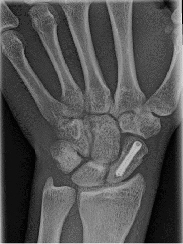
Skafoid Kırığı nasıl tedavi edilir?

Bu küçük ama önemli kemik, maalesef kırıldığı zaman genellikle zor kaynar. Çünkü skafoid kemik yapısı itibari ile damarlanması yani kanlanması iyi olan bir kemik olmadığından, ayrıca kırık sonrası dolaşım daha da bozulur ki bu da kırığın kaynamasını geciktirir. Ayrıca çok hareketli bir yapının önemli bir kemiği olduğu için istenildiği kadar hareketsiz tutulmaya çalışılsa da istirahatle küçük hareketleri engellemek mümkün olmaz.

Eğer kırık yerinden oynamamışsa genellikle alçıyla tedavi edilir. Bu kemiğin iyileşmesi normal kemiklerden daha uzun sürer. O yüzden alçı en az 9 hafta kalır. Eğer kırık kaymışsa o zaman cerrahi yönteme başvurmak gerekir. Ameliyatta kırık kapalı veya açık yöntemle kırık anatomik olarak düzeltilir ve kaynayana kadar bu pozisyonda kalması için bir takım vidalar ile sabitlenir. Skafoid kırığı tedavisinin zahmetli ve aylar süren bir tedavi olduğu unutulmamalıdır. Bazen kaynamanın sağlanamaması nedeni ile ikinci bir cerrahi girişimin gerekliliği ortaya çıkabilir. Kaynama sonrası ise kemiğin damarsal beslenmesi MRI ile iki yıl süreyle izlenir.