İltihaplı diz protezinde tedavi

antibiyotikli çimento ile tedavi 2

İltihaplı diz protezinde tedavi

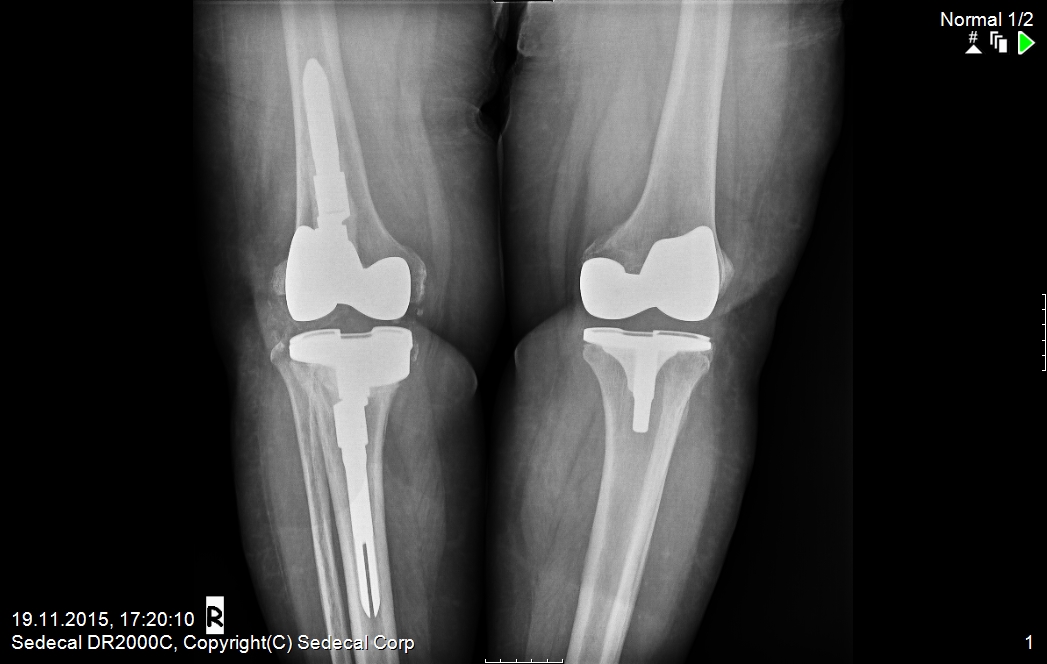
ameliyat sonrası yeni diz protezi 1

ameliyat sonrası yeni diz protezi 1

 

ameliyat sonrası yeni diz protezi 2

ameliyat sonrası yeni diz protezi 2

 

antibiyotikli çimento ile tedavi 1

antibiyotikli çimento ile tedavi 1

 

antibiyotikli çimento ile tedavi 2

antibiyotikli çimento ile tedavi 2

 

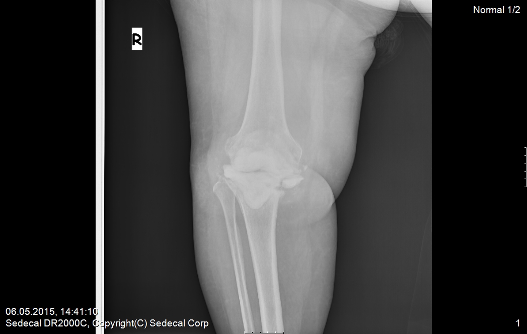
gevşemiş iltihaplı diz protezi 1.

gevşemiş iltihaplı diz protezi 1.

 

gevşemiş iltihaplı diz protezi 2

gevşemiş iltihaplı diz protezi 2