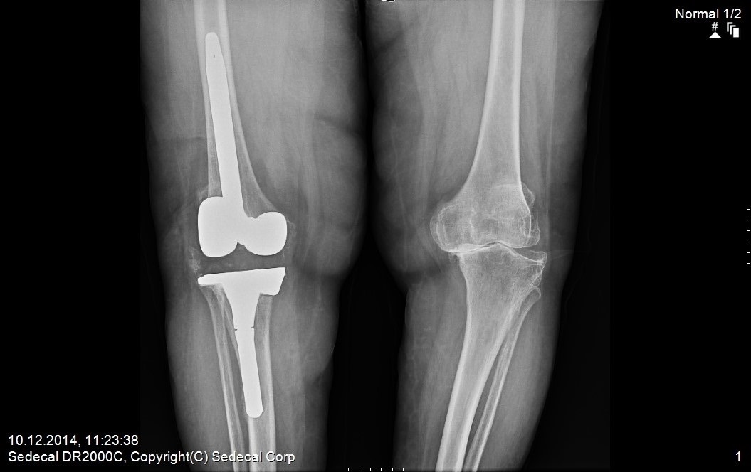
3. kez protez değişimi (menteşeli diz protezi)

ameliyat sonrası 1

3. kez protez değişimi (menteşeli diz protezi)

ameliyat öncesi 1

ameliyat öncesi 1

 

antibiyotikliçiment o ile tedavi 2

antibiyotikliçiment o ile tedavi 2

 

antibiyotikli çimento ile iltihap tedavisi 1

antibiyotikli çimento ile iltihap tedavisi 1

 

ameliyat sonrası 1

ameliyat sonrası 1